Skip to content
  • New
  • Discover your digital care profile
  • Contact Sales
  • Help Center
  • Quick Links

    • Search the course catalog
    • Read our frequently asked questions
    • Visit our help center
  • Home
  • For Institutions

    Our Clientele

    • Hospitals and health systems
    • Private practice
    • Wellness centers
    • Obesity clinics
    • High Schools
    • Colleges
    • Businesses & corporations

    What we offer

    • Remote Therapeutic Monitoring
    • Return to Play Protocols
    • Telehealth Virtual Visits
    • Wellness Plans
    • Patient Education
    • Home Exercise Program
    • Concussion Check Tool
    • Appointment booking for mass events
    • Company Health Challenges Solutions
  • For Individuals

    Our Clientele

    • Sportspeople
    • Student athletes
    • Physical therapists
    • Athletic trainers
    • Coaches
    • Chronic disease patients
    • Active individuals
    • Fitness Specialist

    What we offer

    • ExerciseNow Mobile App
    • Return to Play Protocols
    • Exercise Plans
    • Diet Plans
    • Health Challenges
    • Patient Education
    • Concussion Symptoms Check
  • Resources

    Sports Medicine

    Popular Post

    How to Prevent Massive Heart Attack (A tribute to Dr. Paul Farmer)

    Pre and Post-Workout Meals

    Getting Back to Exercise Safely after COVID-19

    Percutaneous Needle Tenotomy for Tendinosis and Plantar Fasciitis

    Platelet Rich Plasma (PRP) Therapy for Tendon Injury, Plantar Fasciitis, and Osteoarthritis

    By body part

    Back

    Elbow

    Foot and Ankle

    Hand and Wrist

    Hip and Thigh

    Knee and Lower Leg

    Neck

    Shoulder

    Staying Healthy

    Popular Post

    Warming Up Benefits for Young Athletes

    By Sports

    Badminton

    Baseball

    Basketball

    Boxing

    Football

    Golf

    Ice Hockey

    Soccer

    Recovery

    Popular Post

    Patellar Tendinitis Exercise Handouts

    Wrist Sprain Exercise Handouts

    Whiplash Exercise Handouts

    Trochanteric Bursitis Exercises Handouts

    Quadriceps Tightness Exercise Handouts

    Exercises

    Abs Prep

    Active straight leg raise with quad set

    Ankle inversion/eversion towel slide

    Arch lifting

    Band walks

    Bird dog

    Calf mobilization with foam roll

    Cat-camel to child’s pose

    By body part

    Back

    Elbow

    Foot and Ankle

    Hand and Wrist

    Hip and Thigh

    Knee and Lower Leg

    Neck

    Shoulder

    Blogs/Articles

    Popular Post

    How to Prevent Massive Heart Attack (A tribute to Dr. Paul Farmer)

    Pre and Post-Workout Meals

    Getting Back to Exercise Safely after COVID-19

    Percutaneous Needle Tenotomy for Tendinosis and Plantar Fasciitis

    Platelet Rich Plasma (PRP) Therapy for Tendon Injury, Plantar Fasciitis, and Osteoarthritis

    By body part

    Back

    Elbow

    Foot and Ankle

    Head and Wrist

    Hip and Thigh

    Knee and Lower Leg

    Neck

    Shoulder

  • About

    About

    About Us

    Our company and mission

    Our Story

    Our company and mission

    Contact us

    Connect about our product

    Solutions

    Customer

    Customer portal

    BMI Calculator

    Body Mass Index measurement tool.

    Calories Burned Calculator

    Estimates exercise-based calorie expenditure.

    Daily Calorie Intake Calculator

    Calculates daily caloric needs.

    Ideal Body Weight Calculator

    Determines optimal body weight.

  • Pricing

    Just for me

    1 seat

    For Small Business

    2+ seats

    For Large Enterprise

    50+ seats

Sign in

3D render of a medical figure showing elbow flexion and extension

  • Wisler Saint-Vil, MDWisler Saint-Vil, MD
  • August 7, 2022
  • Elbow
Wisler Saint-Vil, MD
Wisler Saint-Vil, MD
Articles: 707
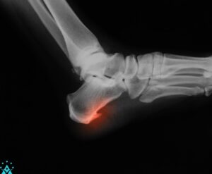
Previous Image Library X-ray image of calcaneus shows heel spur syndrome, oblique view.
Next Image Library Dorsal Surface of The Hand- Labelled

Related Posts

Anatomy model from human elbow on blue background

  • August 9, 2022

human foot

  • August 9, 2022

Blood supply to foot – labeled

  • August 9, 2022

Sign up to get the latest updates, new releases and more...

This platform is about sharing sports medicine knowledge with athletes, athletic trainers, coaches, and every active person who wants to exercise safely to stay healthy. And help raise awareness that the only way to prevent chronic ailments is the right kind of exercise.

Quick Link

  • About
  • Blogs/Articles
  • Courses
  • Ebook
  • Resources
  • RTM-reimbursement-calculator
  • Remote Therapeutic Monitoring Overview

Recovery Exercises

Patellar Tendinitis Exercise Handouts

Wrist Sprain Exercise Handouts

Whiplash Exercise Handouts

Trochanteric Bursitis Exercises Handouts

Quadriceps Tightness Exercise Handouts

Latest Articles

How to Prevent Massive Heart Attack (A tribute to Dr. Paul Farmer)

Pre and Post-Workout Meals

Getting Back to Exercise Safely after COVID-19

Percutaneous Needle Tenotomy for Tendinosis and Plantar Fasciitis

Platelet Rich Plasma (PRP) Therapy for Tendon Injury, Plantar Fasciitis, and Osteoarthritis

© 2025 ExerciseNow

  • Disclaimer
  • Terms & Conditions
  • Privacy Policy
Facebook Instagram Twitter Linkedin Pinterest Youtube Tiktok
πŸ‡ΊπŸ‡Έ English
πŸ‡ͺπŸ‡Έ Spanish
πŸ‡«πŸ‡· French
πŸ‡­πŸ‡Ή Haitian Creole
πŸ‡ΊπŸ‡Έ English
πŸ‡ͺπŸ‡Έ Spanish
πŸ‡«πŸ‡· French
πŸ‡­πŸ‡Ή Haitian Creole